МегаБлог
Кейсы

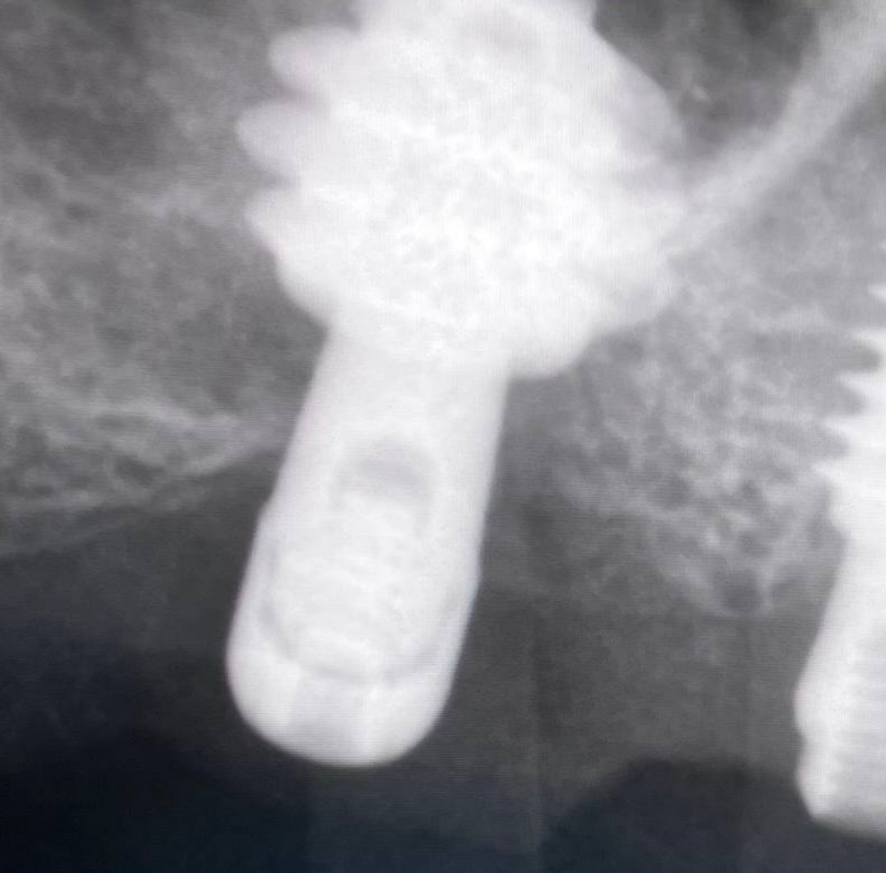
Как виртуальное планирование, хирургический шаблон и дизайн AnyRidge помогает избежать открытого синус-лифтинга и ускорить операцию

Исходная ситуация:

Изначально по данным КТ планировался открытый синус-лифтинг – операция сложная, особенно в зоне перегородки, где высок риск перфорации шнейдеровой мембраны.

Решение:

Закрытый синус-лифтинг в области перегородки. Время операции сокращено до 15 минут, вместо стандартного протокола. Значительно меньшее время до нагрузки импланта, чем при открытом синус-лифтинге.
Для данного кейса выбран имплантат AnyRidge 7,5 x 7,0 мм. Торк при внедрении был 16 Н/см, но ISQ = 50 ед.!
Виртуальное планирование и хирургический шаблон в данном случае – не просто удобный инструментарий, а критически важные аспекты для:
  • Безопасности (уменьшить риск перфорации мембраны)
  • Скорости (операция проходит значительно быстрее)
  • Комфорта пациента (сокращается восстановительный период)