МегаБлог
2025-05-15 10:20
Кейсы
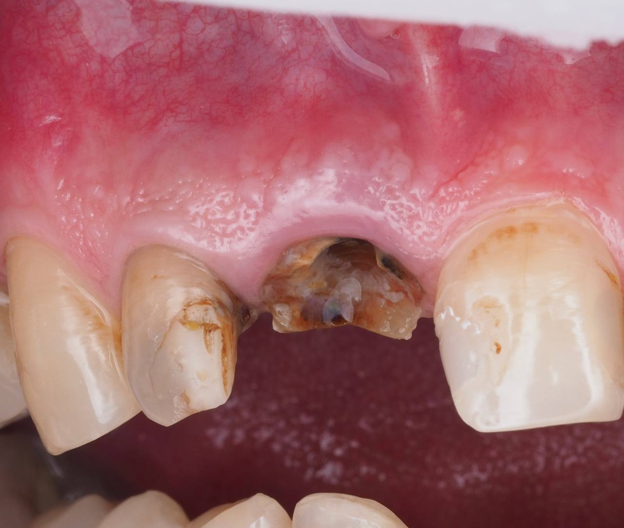
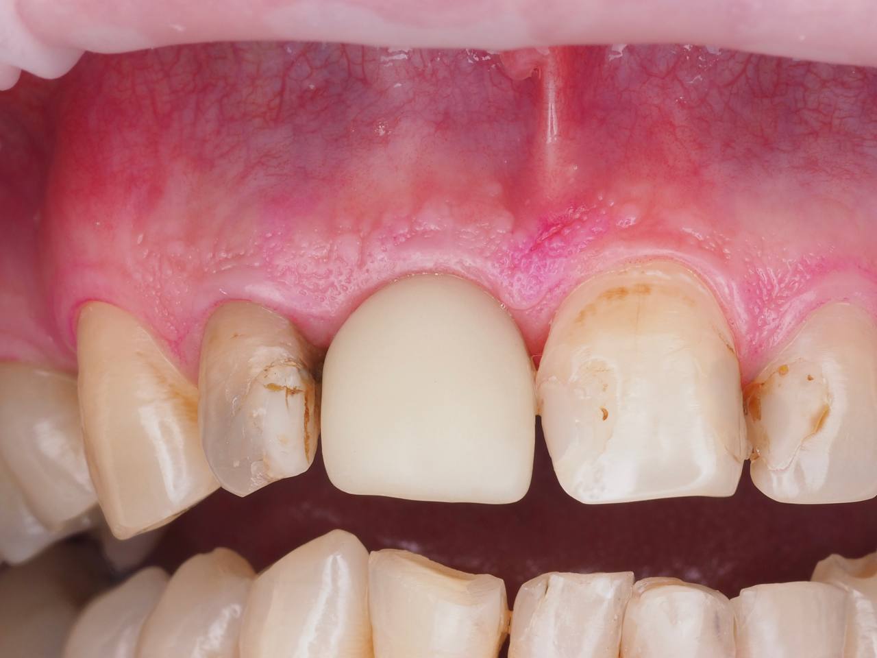
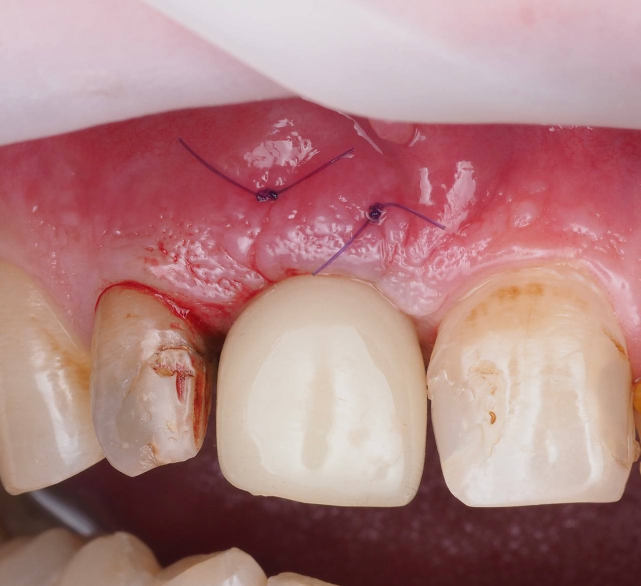
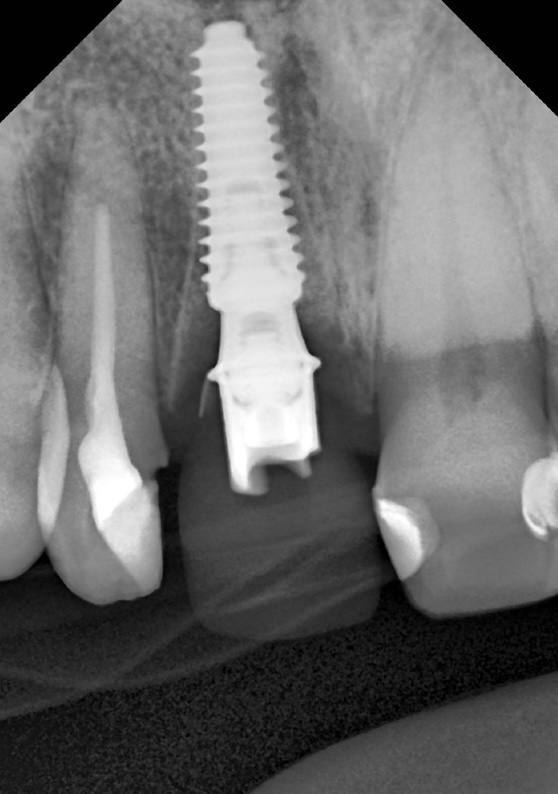
Одномоментная имплантация 1.1
AnyRidge, мультиюнит Octa, CCT, временная коронка
Эдуард Депелян