МегаБлог
Кейсы

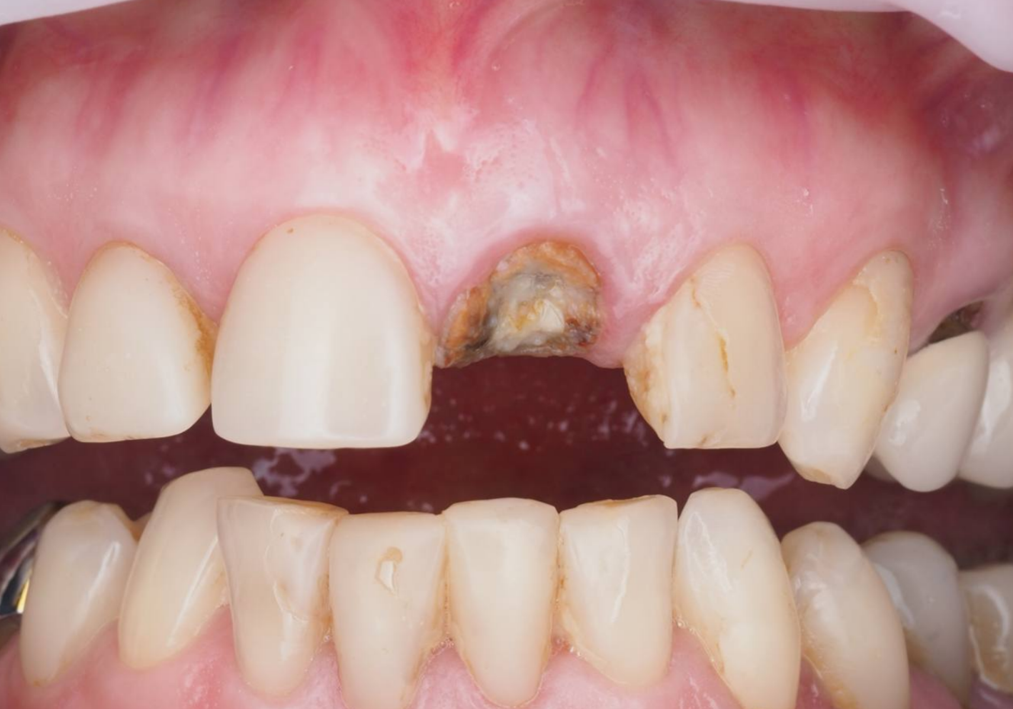
Одномоментная имплантация 2.1 зуба с нагрузкой на следующий день

Одномоментная имплантация центрального резца
Одномоментная имплантация зуба 2.1
установка имплантата Эниридж
Несостоятельный зуб удален, установлен имплантат AnyRidge
Octa абатмент
На имплантат сразу же зафиксирован Octa-абатмент
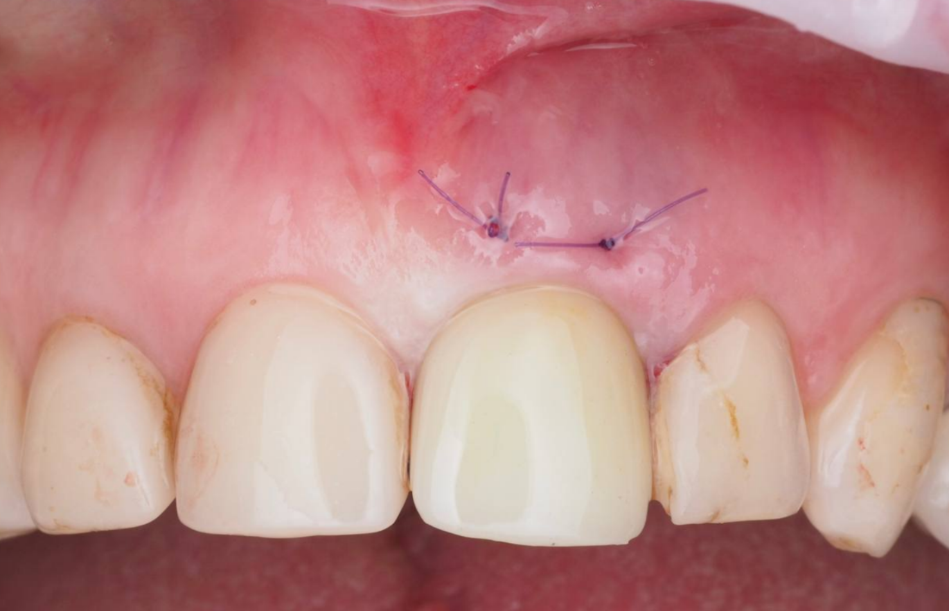
Пластика мягких тканей
Проведена пластика десны подсадкой трансплантата
пластика десны во фронтальном отделе
Состояние перед фиксацией заживляющего колпачка на Octa-абатмент
индивидуальный формирователь десны
Из заживляющего колпачка изготовлен индивидуальный формирователь десны
временная коронка на импланте
Зафиксирована временная коронка
снятие временной коронки
Состояние мягких тканей при снятии временной коронки через 2,5 месяца
профиль прорезывание и состояние десны
Профиль прорезывание и состояние десны перед постоянным протезированием