МегаБлог
Кейсы

Тотальная работа с транс-синусальной постановкой на верхней челюсти

После фиксации временного протеза на верхней челюсти проведена операция на нижней челюсти.
Несостоятельные зубы удалены, проведена редукция костной ткани гребня.
Не смотря на то, что операция проводилась на нижней челюсти, плотность костной ткани была низкая. Было принято решение установить импланты Эниридж с выраженной резьбой для предсказуемой стабилизации.
Установлено 4 имплантата AnyRidge, зафиксированы мультиюниты.
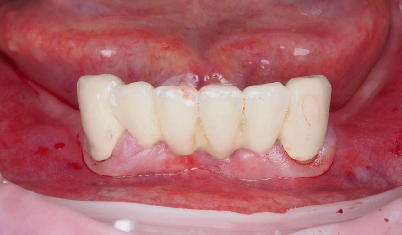
После снятия адаптационного временного протеза прекрасное состояние мягких тканей.
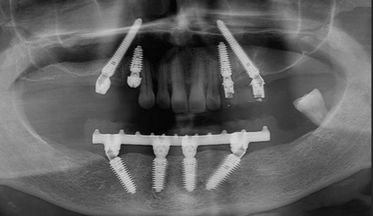
Рентген-контроль полной работы.